5 ay önce yediği yemek canından ediyordu! Şoke eden gerçek ortaya çıktı

Denizli'de yaşayan 78 yaşındaki felçli kadının aylarca geçmeyen akciğer enfeksiyonu şikayetlerinin nedeni şaşırttı. Yapılan detaylı bronkoskopi sonucunda, hastanın sağ akciğerini tamamen tıkayan bir mısır tanesi tespit edildi. Bu mısır tanesinin, beş ay önce yediği pizzanın üzerindeki tanelerden biri olduğu tahmin ediliyor.
Denizli’de yaşayan 78 yaşındaki felçli kadın, son zamanlarda sık sık akciğer enfeksiyonu nedeniyle hastaneye gitmeye başladı. 1 ay önce gittiği hastanede bronkoskopi yapılmasına rağmen sorun saptanamadı. Yaşlı kadının son gittiği hastanede ortaya çıkan gerçek ise şaşkına çevirdi.
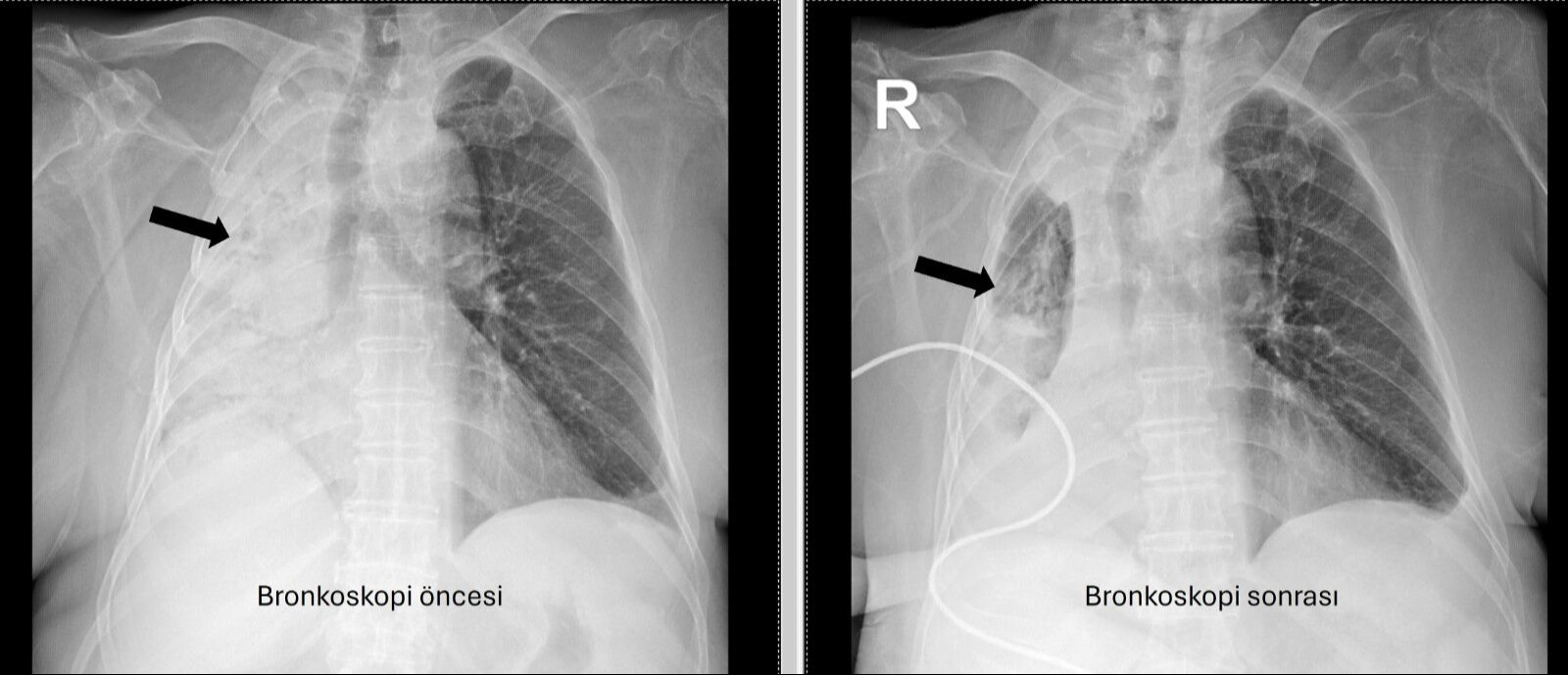
Pamukkale Üniversitesi (PAÜ) Hastaneleri Göğüs Hastalıkları Anabilim Dalı Öğr. Üyesi Prof. Dr. Göksel Altınışık Ergur tarafından yapılan tetkiklerde, felçli kadının sağ akciğere giden hava yolunun bütünüyle kapalı olduğu görüldü. Hastaya acil bronkoskopi planlandı ve işlem gerçekleştirildi.

AYLAR ÖNCE YEDİĞİ PİZZA...
Yapılan müdahalede, solunum yolunu tıkayan cismin bir 'mısır tanesi' olduğu belirlendi ve cisim, aspiratör yardımıyla başarıyla çıkarıldı. Uzmanlar, cismin muhtemelen 5 ay önce yediği pizzadan solunum yoluna kaçtığını belirtti.
Prof. Dr. Ergur, bu tür vakalarda yabancı cisimlerin fark edilmeden akciğeri tıkayabileceğini, zamanında müdahale edilmezse kalıcı hasar oluşabileceğini söyledi.

KALICI AKCİĞER HASARINA YOL AÇABİLİR
Heimlich manevrası veya öksürükle çıkarılamayan cisimlerin mutlaka bronkoskopi ile alınması gerektiğine dikkat çeken Ergur, "Bu işlem genellikle genel anestezi altında rijit bronkoskop adı verilen metal bir tüple gerçekleştirilir. Yabancı cismin çıkarılmaması durumunda, akciğerde hava giriş çıkışının durması sonucu sönme (atelektazi) ve dirençli enfeksiyonlar gelişebilir. Bu da kalıcı akciğer hasarına yol açabilir" ifadelerini kullandı.






