Karın ağrısıyla gitti, karnından dev kitle çıktı! “Ben de beklemiyordum”
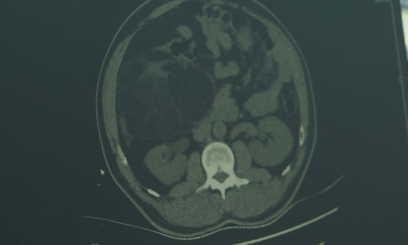
Samsun’da karın ağrısı şikayetiyle hastaneye başvuran bir erkek hastanın karnında, 2,5 kilo ağırlığında ve 30 santimetre çapında bir kitle tespit edildi. Nadir rastlanan bu kitle, başarılı bir ameliyatla çıkarıldı. Söz konusu vaka, erken teşhisin ne denli önemli olduğunu bir kez daha gözler önüne serdi.
Hastaneye karın ağrısı şikâyetiyle başvuran 43 yaşındaki Özkan Ünal'ın yapılan tetkikler sonucunda, karın içinde yaklaşık 30 santimetre büyüklüğünde bir kitle tespit edildi. Pankreas, karaciğer ve böbrekle ilişkili bölgede yer alan dev kitle, yapılan operasyonla çıkarıldı.
BU TÜR VAKALAR NADİR GÖRÜLÜYOR
Ameliyatı yapan Genel Cerrahi Uzmanı Opr. Dr. Volkan Kınaş, "Özkan Bey, hastanemize karında ağrı şikayetiyle geldi. Üroloji bölümüne başvurdu. Burada yapılan değerlendirmelerde hastanın karın içerisinde yaklaşık 30 santimetrelik bir kitle olduğu gözlemlendi. Bu kitle pankreas, karaciğer, böbrekle tamamen ilişkiliydi. Tabii, zor ve itina gerektiren bir ameliyattı. Bu tür vakalar çok nadir görülen, çok sık karşılaşmadığımız vakalardır. Gözden kaçırılmaması gereken ve ameliyatının titizlikle yapılması gereken vakalardır. Tüm hastalarımızda olduğu gibi kanser cerrahisinde de erken teşhisin önemi ve rolünden her zaman bahsetmek gerekir” dedi.

Kınaş, “Hastamız kendisi bu durumun farkına vararak bize geldi. Bu tip rahatsızlıkları geciktirmemek adına kişilerin sık sık checkup, tahlil ve tetkiklerini doktorlara giderek yaptırmaları gerekiyor” diyerek sözlerini noktaladı.

"ŞAŞIRDIM, BEN DE BEKLEMİYORDUM"
Hasta Özkan Ünal ise "Daha önceden top oynarken karnıma darbe geldi. İç kanama oluştu ve ameliyat geçirdim. İkinci vakada da ağrılarım oldu. 5-6 gün sonra ağrılarım artınca hastaneye gelmek zorunda kaldım. Sağ olsun hocam her şeyimle ilgilendi. 30 santimlik kitleyi beklemiyordum, ben de çok şaşırdım" diye konuştu.







