Tavuk yerken az daha ölüyordu! 7 kez ameliyat oldu, 36 kiloya kadar düştü
Piknikte tavuk yerken boğazına kaçan kemik parçası nedeniyle yemek borusu yırtılan, ardından aort damarı delinen İsmail Çanakçı, geçirdiği 7 ameliyat sonrası sağlığına kavuştu. Tedavi sırasında 36 kiloya kadar düşen Çanakçı “Her geçen gün daha iyiye gidiyorum. İyileşme süreci biraz zorluydu ama üstesinden geldim” dedi.
Ailesiyle 1,5 ay önce pikniğe giden 22 yaşındaki İsmail Çanakçı, mangalda pişirilen tavuğu yerken, boğazına kemik parçası kaçtı. Çanakçı'ya, ilk müdahaleyi ağabeyi Heimlich manevrasıyla yaptı. Olayın hemen ardından baş ağrısı, ateş ve halsizlik şikayetleri başlayan Çanakçı, ailesi tarafından Bilkent Şehir Hastanesine götürüldü.
7 OPERASYON GEÇİRDİ
Burada yapılan ilk müdahalede Çanakçı'nın boğazına kaçan 22 milimetrelik tavuk kemiğinin yemek borusunu yırtmasıyla gelişen komplikasyon sonucu aort damarının delindiği belirlendi. Bunun üzerine tedavi süreci başlayan Çanakçı, 7 operasyon geçirdi.
İLK MÜDAHALEYİ ABİSİ YAPMIŞ
Yaşadıklarını anlatan Çanakçı, "Ailecek pikniğe gitmiştik, mangal yapıyorduk, çok acıkmıştım. O sırada yemek hazırlandı, tavuğumu hızlı bir şekilde yerken kemik parçası boğazımda kaldı. Abime seslendim 'abi koş' diye ve ilk müdahaleyi abim yaptı. Baş ağrısı, ateş basması, halsizlik yaşadım ve kendimi hastanede buldum. Aort damarımda yırtık oluştu, 7 kere ameliyat oldum ve 1,5 ayın sonunda taburcu edildim. Çok şükür iyiyim ve her geçen gün daha iyiye gidiyorum. İyileşme süreci biraz zorluydu ama üstesinden geldim" ifadelerini kullandı.
"OĞLUM 36 KİLOYA DÜŞMÜŞTÜ"
Anne Saime Çanakçı ise oğlunun 3 gün yoğun bakımda kaldığını ve entübe edildiğini belirterek, yaşananları şöyle aktardı:
"Oğlum, çok zor bir süreçten geçti. Şuan oğlum buradaysa önce Allah'ın mucizesi sonra doktorların başarısı. 30'dan fazla doktor ameliyatına girdi, hepsinden Allah razı olsun. Oğlum bu olaydan önce 52 kiloydu, bu süreçte 36 kiloya kadar düştü, taburcu olduktan sonra zamanla 40 kiloya ulaştı. 2 günde 1 hastaneye kontrole getiriyoruz. Günden güne durumu iyiye gidiyor."
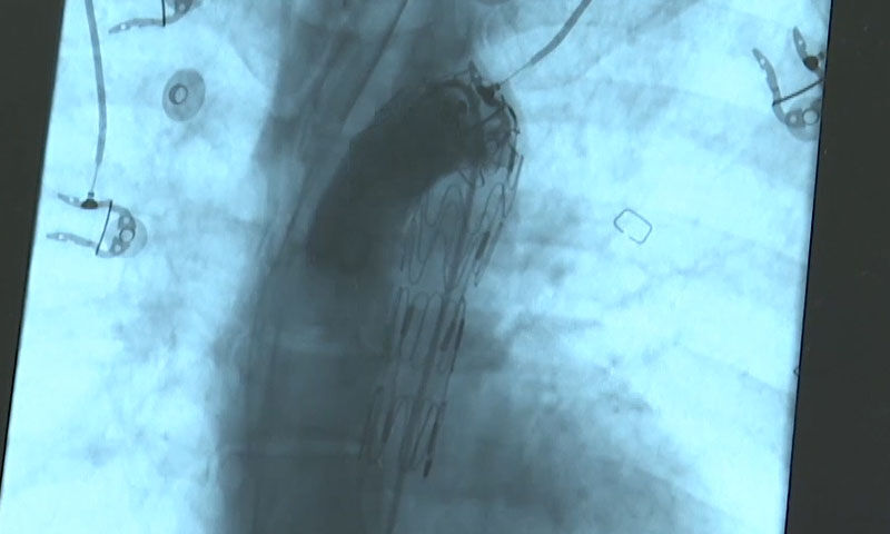
BİNDE BİR OLACAK BİR KOMPLİKASYON
Ankara Bilkent Şehir Hastanesi Göğüs Cerrahisi Uzmanı Prof. Dr. Bülent Koçer de Çanakçı'nın hastaneye tavuk kemiği yutma şikayetiyle geldiğini belirterek, şunları kaydetti:
"Arkadaşlarımız acil şartlarda yemek borusundan yabancı cismi çıkarma yoluna gittiler ve kemik başarılı şekilde çıkartıldı. Arkasından oluşabilecek komplikasyonlar nedeniyle hastamızı takip ettik. Yemek borusuna yabancı cisim kaçmalarında, yemek borusunda delinmeye kadar giden ileri derecede hayatı tehdit eden, tıbbi durumlara sebebiyet veren ve bölgede oluşan iltihapla hastanın hayatını kaybetmesine kadar gidebilen enfeksiyonlar meydana gelebiliyor."
Tavuk kemiğinin yemek borusundan çıkarılmasının ardından Çanakçı'nın sağlık durumunun günden güne iyiye gittiğini ancak taburcu edilmeden önce fenalaştığını aktaran Koçer, şöyle devam etti:
"Hastayı taburcu etmeden önce kontrol için endoskopisini yapmak istedik. Endoskopi yapılacağı gün hastamız kendini iyi hissetmediğini söyledi. Ağızdan çoklu kanaması oldu, acil şartlarda ameliyata aldık. Bu kadar büyük bir kanamanın şah damarı dediğimiz aorttan yemek borusuna oluşan irtibattan kaynaklı olabileceğini düşündük ve tahminimiz doğru çıktı. Hastamızda binde bir olabilecek komplikasyon meydana geldi. Şah damarından yemek borusuna kanallaşma oluştu. Hastanın hayatını kurtarmak ve kanayan bölgenin kontrol altına alınması için kalp damar cerrahisi kliniğinden arkadaşlarımızın müdahalesiyle aort damarı içerisine stent uygulaması yapıldı. 40 günlük tedavinin ardından hastamız sağlığına kavuştu."
