Öksürük şikayetiyle geldi hastaneye gelen kadının akciğerinden toplu iğne çıktı
Kastamonu'da 2 yıldır süren yoğun öksürük şikayeti ile hastaneye gelen kadının akciğerinde iğne olduğu tespit edildi. Ameliyat iğneden kurtulan kadın, iki yıl önce eşarbını bağlamak için ağzına aldığı toplu iğneyi yuttuğunu söyledi.
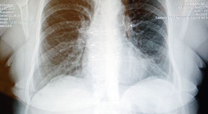
Kastamonu’da Kırkçeşme Mahallesi Muhtarı Tahsin Sakallıoğlu’nun eşi Nazmiye Sakallıoğlu, iki yıl önce eşarbını bağlamak için ağzına aldığı toplu iğneyi yanlışlıkla yuttu. Yuttuğu iğneyi su içerek çıkarmaya çalışan Nazmiye Sakallıoğlu, bunda başarılı olmadı. Öksürük şikayetiyle çeşitli hastanelere başvuruda bulunan Nazmiye Sakallıoğlu, alerjik diye geri gönderildi. Son olarak Kastamonu Devlet Hastanesine müracaatta bulunan Nazmiye Sakallıoğlu, yapılan kontrollerinde akciğerinde 3 santim uzunluğunda toplu iğne olduğu saptandı. Kastamonu Devlet Hastanesi Göğüs Cerrahi Uzmanı Op. Dr. Tarık Yağcı ve ekibi, yaklaşık 1,5 saat süren operasyonla toplu iğneyi bronkoskopi yöntemiyle çıkardı. Akciğerinden toplu iğne çıkartılan Nazmiye Sakallıoğlu ise, öksürüğünün kesildiğini ve kendisini daha iyi hissettiğini söyledi.
'HASTAMIZ, 2 YILDIR GEÇMEYEN ÖKSÜRÜK ŞİKAYETİ İLE HASTANEMİZE BAŞVURDU'
Hastanın iki yıldır geçmeyen öksürük şikayetiyle Kastamonu Devlet Hastanesine başvuruda bulunduğunu söyleyen Kastamonu Devlet Hastanesi Göğüs Cerrahi Uzmanı Op. Dr. Tarık Yağcı, “Yabancı cisim aspirasyonları daha çok çocukluk yaş gruplarında karşımıza çıkmakla beraber nadirde olsa yetişkin gruplarında karşımıza çıkabiliyor. Yabancı cisim aspirasyonları herhangi bir semptom vermeyeceği gibi geçmeyen öksürük, hırıltılı soluma, kanlı balgam ve solunumun durmasına da neden olabiliyor. Hastamızda 2 yıldır geçmeyen öksürük şikayeti ile hastanemize başvurmuştu. Yapılan tetkiklerinde sol akciğerde yabancı cisim aspirasyonu şüphesiyle hastaya cilt bronkoskopi uyguladık. Bu cismi bronkoskopi ile kameralı yöntemle açık ameliyata gerek kalmadan iğneyi tamamen çıkarttık. İşlem komplikasyonsuz sonuçlandı ve hastamız sağlığına tekrar kavuştu” dedi.
'1,5 SAAT SÜREN OPERASYONLA 3 SANTİMLİK İĞNEYİ AKCİĞERDEN ÇIKARDIK'
İğnenin yaklaşık 2,5-3 santim uzunluğunda bir iğne olduğuna dikkat çeken Op. Dr. Yağcı, “Akciğerde kalan yabancı cisimler, akciğerin harap olmasına, kronik akciğer enfeksiyonuna, tekrarlayan zatürreye, kanlı balgamlara neden olabilir. Bunun için hastanın kronik akciğer enfeksiyonundan korunması için yabancı cisimlerin çıkartılması gerekiyor. Yabancı cisim, akciğerde kaldığı sürece yaşamsal tehlikede arz eder. Harekette ve öksürükte etrafındaki ana vasküler damarlara batma ve kanlı balgam riski mevcuttur. Yaklaşık ameliyatımız 1,5 saat kadar sürdü” şeklinde konuştu.
'EŞARBIMI BAĞLARKEN TOPLU İĞNE YUTTUM'
Eşarbını bağlarken toplu iğneyi yuttuğunu belirten Nazmiye Sakallıoğlu ise, “Eşarp bağlarken iki tane iğneyi ağzıma aldım. Bir tanesi de iğnenin elimdeydi. Sonra iğnenin bir tanesi kayboldu. Yuttuğumu tahmin ettim. Arkasından su falan içtim ama belki düşer diye. Sonra iki yıl boyunca doktorları gezdik. Ankara, İstanbul, Karabük, Çankırı gibi yerlere gittik. Herkes bu öksürük senin gıcık veya alerjik dedi. Alerji hapı verip gönderiyorlardı. Tekrar devlet hastanemizdeki doktora geldim. Film çekti ve iğneyi gördü. Operasyonum çok güzel geçti. Şimdi çok iyiyim” diye konuştu.
'HANIMLARA TAVSİYEM AĞIZLARINA TOPLU İĞNE ALMASINLAR'
Kadınlara tavsiyede de bulunan Nazmiye Sakallıoğlu, şöyle konuştu: “Hanımlara tavsiyem, iğneyi ağızlarına almasınlar. Çok zor bir şey. Açık ameliyat olacaktım çok zor ve tehlikeli dediler. Bir gece yoğun bakımda kaldım. Şuanda çok iyiyim ve sağlığıma kavuştum. Şimdi öksürüğümde yok, kesildi.”
