Öksürük şikayetiyle gittiği hastanede hayatının şokunu yaşadı!
Bolu'da yaşanan olayda öksürük şikayeti ile hastaneye giden adam hayatının şokunu yaşadı. Yıllarca kaç doktora gitti kimse fark etmedi, 5 senedir ciğerindeki lades kemiği ile yaşıyormuş...
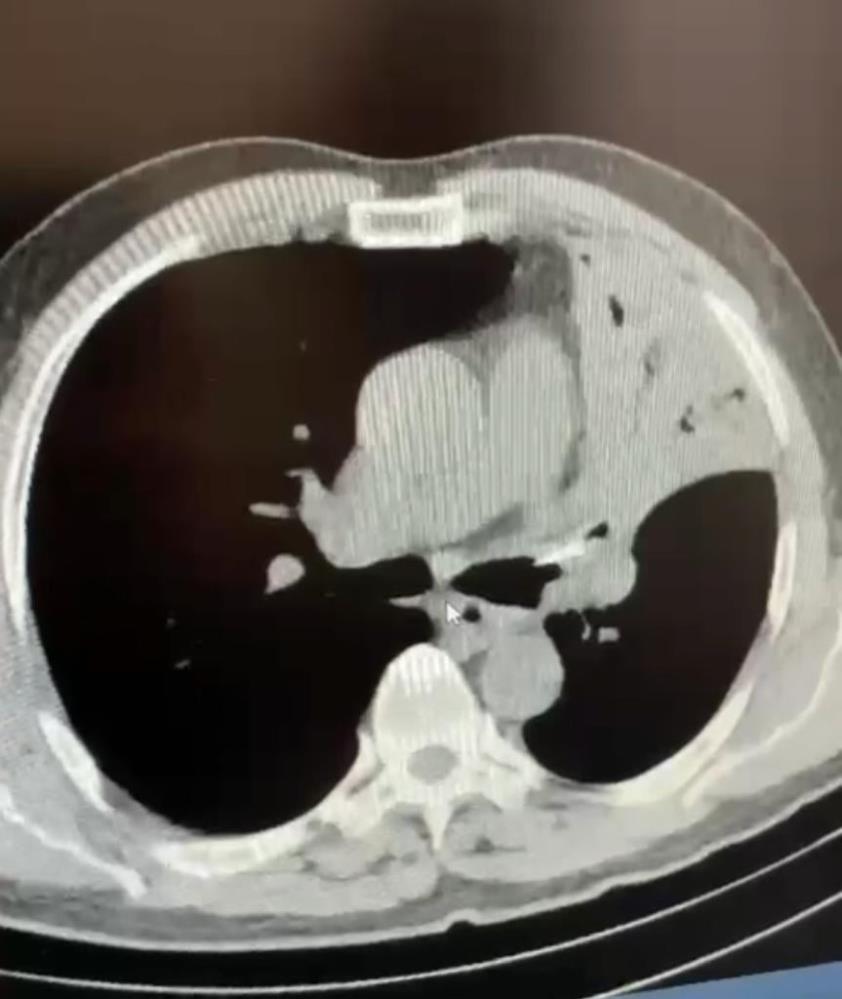
Bolu’da şaşkına çeviren bir olay yaşandı, öksürük ve şiddetli ağrı şikayetiyle gittiği hastanede 5 yıldır sol akciğerine saplanan lades kemiğiyle yaşadığını öğrenen Mehmet Salih Fer, kemiğin ameliyatla alınması sonucu sağlığına kavuştu.
5 YIL AKCİĞERİNDE LADES KEMİĞİ İLE YAŞADI
Düzce’nin Cumayeri ilçesinde yaşayan Mehmet Salih Fer, uzun süredir devam eden öksürük ve şiddetli ağrı şikayetiyle AİBÜ İzzet Baysal Eğitim ve Araştırma Hastanesi’ne gitti. Fer’in yapılan muayenesinde sol akciğerine lades kemiği saplandığı tespit edildi. Fer’in 5 yıl boyunca akciğerinde saplanmış halde bulunan lades kemiği yapılan ameliyatla alındı. Sağlığına kavuşan Fer, yapılan son kontrollerinin ardından taburcu edildi.
ÖNCEKİ DOKTORLAR TEŞHİS KOYAMADI
5 yıl boyunca öksürük, şiddetli ağrı sırtında yanma şikayetleri bulunduğunu ifade eden Mehmet Salih Fer, “Aynı şikayetlerle hastanelere gittim, muayenelerim yapıldı, filmler çekildi. Sık sık enfeksiyon geçiriyordum, farklı farklı tanılar konuldu ve ilaç tedavileri başlatıldı. Ancak hiçbir sonuç alamadım ve şikayetlerim devam etti. Son olarak İzzet Baysal Eğitim ve Araştırma Hastanesi Göğüs Cerrahisi kliniğine geldim. Burada doktorlarım tarafından muayenelerim ve tetkik işlemlerim yapıldı. Neticede sol akciğerimde yaklaşık 5 senedir bir lades kemiği ile yaşadığımı öğrendim” dedi.
