İran uyruklu uyuşturucu şüphelisinin midesinden 900 gram uyuşturucu çıktı
İran uyruklu uyuşturucu şüphelisinin midesindeki 900 gram uyuşturucu, ameliyatla çıkarıldı.
Van'dan Ankara'ya gelen İran uyruklu O. Zadeh Ahmed Narziveh, AŞTİ'de fenalaştı ve haber verilmesi üzerine 112 Acil Servis ekipleri tarafından Ankara Şehir Hastanesine kaldırıldı.
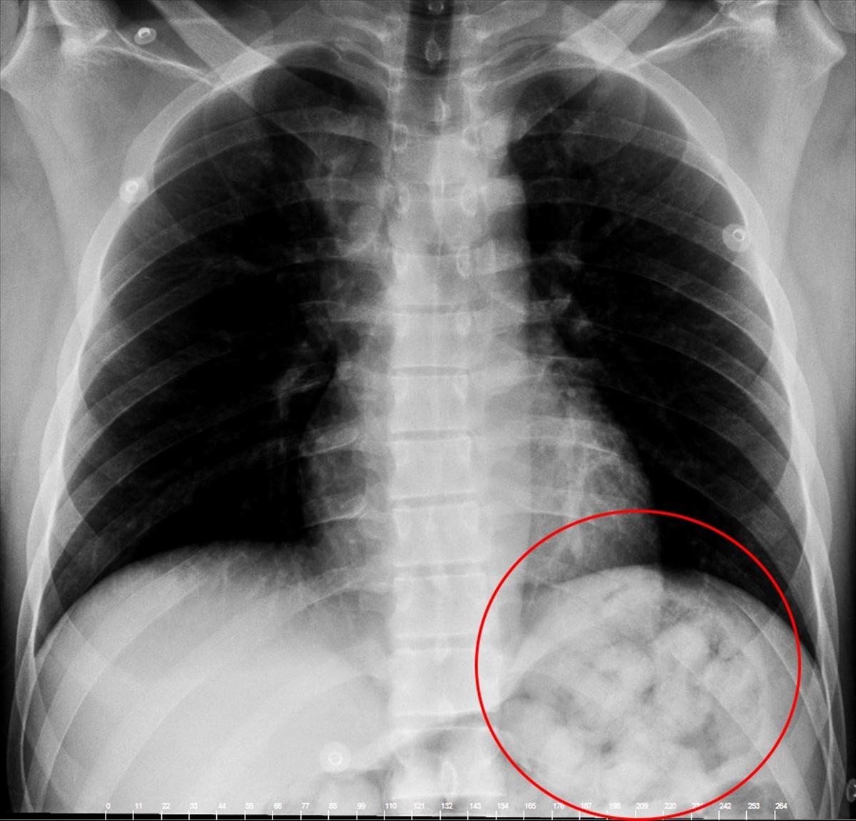
Narziveh'in röntgen filmlerinde midesinde uyuşturucu madde kapsülleri görüldü. Bunun üzerine Narziveh mahkeme kararıyla ameliyata alındı.
Ameliyatın ardından şüphelinin midesinden ikisi patlamış halde 72 kapsül içerisinde yaklaşık 900 gram metamfetamin çıkarıldı.
Zanlı, 5 günlük tedavisinin tamamlanmasıyla Ankara Emniyet Müdürlüğü Narkotik Suçlarla Mücadele Şube Müdürlüğü ekiplerince adliyeye sevk edildi.
Altındağ'daki uyuşturucu şüphelilerin emniyetteki işlemleri tamamlandı
Öte yandan Altındağ'da 31 kilo 200 gram eroin, 315 gram uyuşturucu hapın yakalanması olayıyla ilgili uyuşturucu ticareti yaptıkları iddiasıyla narkotik ekiplerince gözaltına alınan ve emniyetteki işlemleri tamamlanan M.A, A.A, H.A. ile V.A. adliyeye sevk edildi.
