Rutin kontrolde ortaya çıktı! ByPass sonrası gizli tehlike neredeyse canına mal oluyordu
Bayburt Devlet Hastanesinde bir hastaya kapalı yöntemle akciğer ameliyatı yapıldı. 80 yaşındaki hasta, geçirdiği operasyonun ardından sağlığına kavuştu.
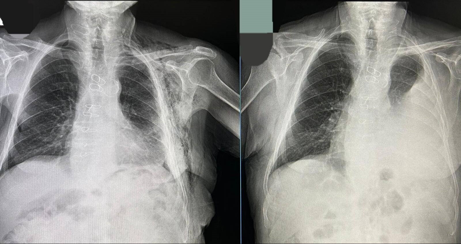
Bypass ameliyatı sonrası Göğüs Cerrahisi Polikliniğine kontrole giden hastanın göğüs boşluğunda sıvı biriktiği tespit edildi.
Tüp torakostomiye dirençli efüzyon nedeniyle değerlendirmeye alınan hastaya Göğüs Cerrahisi Uzmanı Op. Dr. Halil Kolcu tarafından kapalı yöntemle akciğeri serbestleme ameliyatı yapıldı.
Başarılı geçen operasyonla hastanın akciğerinin yeniden genişlemesi sağlanırken, sıvı birikiminin önüne geçildi. Hastanın ameliyat sonrası sürecinin sorunsuz ilerlediği ve altıncı günde taburcu edildiği öğrenildi.
Bizi Takip Edin
YORUMLAR
