Karnındaki şişkinlik sebebiyle başvurmuştu! 3 günde 5 santimetre: Acı gerçek ortaya çıktı
Güney Afrika’nın başkenti Cape Town’da yaşayan 28 yaşındaki bir kadın, bir sabah uyandığında karnında hissettiği şişlik sebebiyle telaşa kapıldı. Bu şişliğin hayatını değiştireceğinden habersiz olan genç kadın, hemen hastaneye başvurdu. Acı gerçek hastanede ortaya çıktı.
Korkunç olay Güney Afrika’nın başkentinde yaşandı. 28 yaşındaki Tamsyn Gerrits, bir sabah karnında büyük bir şişkinlikle uyandı. İlk bakışta yaklaşık beş aylık hamile gibi göründüğünü söyleyen kadın Gerrits, bunun normal bir durum olmadığını fark etmesiyle hastaneye başvurdu.
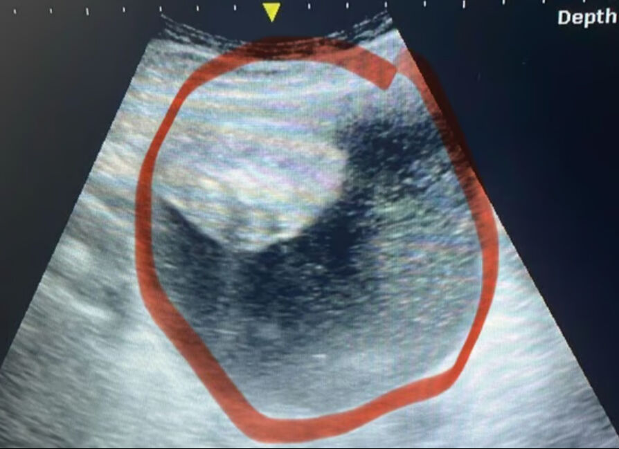
Yapılan birçok test sonucu hamile olmadığı tespit edilen kadın, ultrasona girdi. Doktorların hastalığı tespit edemediğini bildiren genç kadın, "Görebildikleri tek şey mesaneme baskı yapan büyük, sıvı dolu bir kitleydi'' dedi ve ekledi:
''Bunun bir kist, fıtık mı yoksa tamamen başka bir şey mi olduğundan emin değillerdi."
YUMURTALIKLARINDA TÜMÖR OLDUĞU TESPİT EDİLDİ
Birkaç gün içinde durumu kötüleşen Gerrits, bir sabah sırtının altında ve karnının solunda şiddetli bir ağrı hissetti. Günler sonra yapılan jinekolojik muayene sonucunda, ağrının sebebinin yumurtalık tümörü olduğu tespit edildi.
3 GÜNDE 5 SANTİMETRE BÜYÜDÜ
Kitlenin çok hızlı büyüdüğü vurgulanırken, Gerrits, ''Cuma günü 12 santimetre olan kitle, Pazartesi 17 santimetreye ulaşmıştı. Çok hızlı büyüyordu'' dedi. Acil ameliyata alınan kadının yumurtalığı kurtarıldı.Biyopsi sonucu, tümörün kötü huylu ve ileri seviyede olduğunu ortaya çıkardı.
AMELİYAT SIRASINDA PATLADI
Tümörün ameliyat esnasında patladığını kaydeden Gerrits, durumu büyük bir şans olarak nitelendirdi. ''Aksi halde 3. veya 4. evre kansere ilerleyebilirdim'' şeklinde konuştu.
''EĞER BİR KADINA YARDIMCI OLABİLİRSEM, HER GÖZYAŞI BUNA DEĞER''
Aldığı kemoterapi tedavisinden ve hastalığın zorluklarından da bahseden genç kadın, ''Erken teşhis edildiğim için minnettarım. Destek sistemim eşim Jaco ve 1 yaşındaki oğlumuz Elan benim için her şey demek'' ifadelerinde bulundu.
Tedavinin artık hayatının bir parçası haline geldiğini vurgulayan Gerrits, ''Eğer bir kadının erken teşhis edilmesine yardımcı olabilirsem, her gözyaşı, her seans buna değer'' dedi.
